800 East Broward Boulevard #706 Fort Lauderdale, FL 33301
New Patients: 954-807-4829
Current Patients: 954-522-3228
Procedures
Laser Treatment
Laser Dentistry & LANAP
LAPIP Laser Peri-Implantitis Treatment
Gummy Smile
Laser Gum Depigmentation
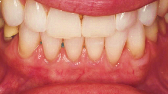
Gum Disease
Gum Disease
Antimicrobial Therapy
Gum Recession
Gum Recession
Pinhole Surgical Technique
Dental Implants
Dental Implants
Full Arch Dental Implants
Dental Implant Cost
Bad Breath Treatment
Bad Breath Treatment
Bone Grafting
Dental Bone Grafts
Sinus Lift
Socket Preservation
Ridge Augmentation
Other Treatments
Sedation Dentistry
About Us
About Us
About Our Practice
Meet Dr. Tom McCawley
Meet Dr. Mark McCawley
Meet The Dream Team
Our Location
Blog
Videos
Patient Success
Patient Stories
Patient reviews
Smile Gallery
Areas We Serve
Fort Lauderdale, FL
Hollywood, FL
Wilton Manor, FL
West Palm Beach, FL
Sunrise, FL
Pompano Beach, FL
Plantation, FL
Hialeah, FL
Davie, FL
Coral Springs, FL
Pembroke Pines, FL
Lighthouse Point, FL
Boca Raton, FL
Oakland Park, FL
Weston, FL
Parkland, FL
Patient Center
Saving Your Teeth (e-Book)
Understanding Periodontal Disease (e-Book)
Blueprint For a Highly Successful Life (E-Book)
Dental Myths
Referring Doctors
Contact Us
Book Now
Smile Gallery - Fort Lauderdale, FL
The Proof Is In Our Patients
Schedule Consultation
New Patient Special $79 Exam Including X-Rays ($475 Value!). Please Call To Ask About Our New Patient Specials. Second Opinions Welcome.
Schedule Now
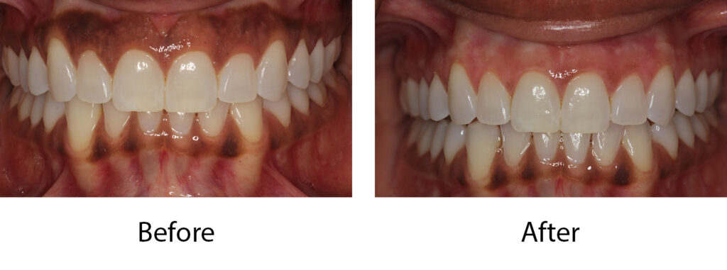
Before And After Photos
LANAP Case 1
LANAP Case 2
LANAP Case 3
All-On-4 Case 1
All-On-4 Case 2
All-On-5 Case 1
All-On-5 Case 2
All-On-5 Case 3
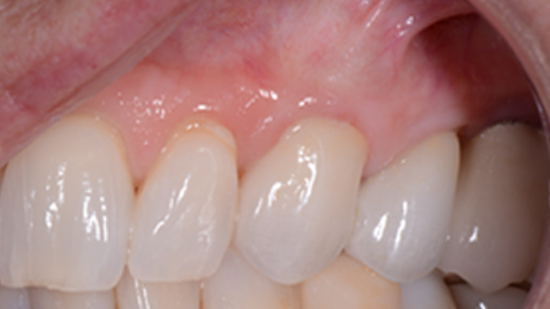
Pinhole Surgical Case 1
Pinhole Surgical Case 2
Pinhole Surgical Case 3
Pinhole Surgical Case 4
Pinhole Surgical Case 5
Pinhole Surgical Case 6
Pinhole Surgical Case 7
Pinhole Surgical Case 8
Pinhole Surgical Case 9
Laser Clinical Crown Lengthening Case 1
Laser Crown Lengthening Case 2
Laser Crown Lengthening Case 3
Laser Depigmentation Case 1
Laser Depigmentation Case 2
Laser Depigmentation Case 3
LAPIP Case 1
LAPIP Case 2
Procedure
Schedule Your Next Appointment
Call Our Office Today!
Schedule Consultation
Accessibility Toolbar
close
Toggle the visibility of the Accessibility Toolbar
keyboard
Keyboard Navigation
nights_stay
Contrast
format_size
Increase Text
text_fields
Decrease Text
font_download
Readable Font
title
Mark Titles
link
Highlight Links & Buttons
When Orthodontics Go Wrong...And What You Can Do to Prevent It
Should You Get Your Wisdom Teeth Removed?
What Vaping Does to Your Mouth!
Get a Second Opinion! We Might be Able to Save Your Teeth!