Pinhole Surgical Technique in Fort Lauderdale
New Patient Special $79 Exam Including X-Rays ($475 Value!). Please Call To Ask About Our New Patient Specials. Second Opinions Welcome.
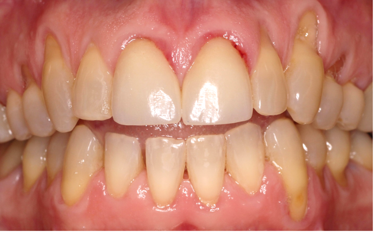
Gum recession can lead to tooth sensitivity, root exposure, and even tooth loss if left untreated. The Chao Pinhole Surgical Technique™ is a breakthrough method that treats gum recession without cutting or stitches.
At McCawley Center for Laser Periodontics and Implants, we offer this innovative procedure to help patients restore gum coverage with minimal downtime.
We offer the Pinhole Surgical Technique at our periodontal office in Fort Lauderdale, FL.
What Causes Gum Recession?
Gum recession occurs when gum tissue pulls away from the teeth and exposes the root surface.
Common causes include:
- Periodontal disease and chronic inflammation
- Orthodontics moving the teeth into areas of thin bone and tissue
- Aggressive tooth brushing or hard-bristled brushes
- Genetics or naturally thin gum tissue (gingival biotype)
- Orthodontic treatments and shifting teeth
- Clenching or grinding
- Poor oral hygiene or untreated dental issues
If left untreated, gum recession can lead to:
- Tooth sensitivity
- Root decay
- Bone loss
- Tooth loss
What Is the Chao Pinhole Surgical Technique™?
The Chao Pinhole Surgical Technique (PST™) treats gum recession through a small pinhole in the gum tissue using special instruments.
Rather than removing donor tissue from the roof of the mouth, the existing gum tissue is gently loosened and guided over the exposed tooth root. Collagen material is then inserted to help secure the tissue and encourage healing.
PST eliminates the need for incisions, stitches, or additional surgical sites, making it one of the least invasive and most patient-friendly treatments for gingival recession available today.
How the Pinhole Technique Works
Here’s a quick overview of the process:
- Tooth sensitivity
- Root decay
- Bone loss
- Tooth loss
PST is a simple technique that provides immediate root coverage, improves gum health, and enhances the overall appearance of your smile.
What to Expect After Treatment
You may have minor swelling or soreness for a day or two, but this is typically mild. You can resume light activities and return to work the following day. We will provide complete aftercare instructions to ensure proper healing and long-lasting results.
Benefits of the Pinhole Surgical Technique™
PST offers several advantages over traditional gum grafting. Patients choose pinhole gum surgery because it is:
- Minimally invasive: No need for cutting, sutures, or donor tissue
- Comfortable: Less swelling and discomfort compared to invasive surgery
- Quick recovery: Most patients return to normal activities the next day
- Efficient: Multiple teeth can be treated in one session
- Aesthetic: Immediate cosmetic improvement with natural-looking results
- Stable: Supports long-term root coverage with proper oral care
Pinhole Surgical Technique vs. Gum Grafting
While both techniques aim to correct gum recession, PST offers a far less invasive experience.
Below is a side-by-side comparison highlighting the key differences between the two options:
| Pinhole Surgical Technique™ | Traditional Gum Grafting | |
|---|---|---|
| Invasiveness | Minimally invasive | Surgical procedure |
| Tissue Source | Your existing gum tissue | Donor tissue from the palate or another site |
| Stitches Required | Sometimes | Yes |
| Recovery Period | Short (1–2 days of minor swelling) | 1–2 weeks of discomfort and limited eating |
| Cosmetic Results | Immediate improvement | Gradual improvement |
| Applicable to Multiple Teeth | Yes, often in one visit | Limited by donor site availability |
Am I a Candidate for Pinhole Gum Surgery?
Many patients with gum recession qualify for this treatment.
You may be a good candidate if you:
- Have mild to moderate gingival recessions or marginal tissue recession
- Want a less invasive alternative to connective tissue grafts
- Are in good overall and periodontal health with no active gum disease
- Have sufficient keratinized tissue around the tooth
- Have tooth sensitivity, visible root exposure, or cosmetic concerns
- Do not smoke or are willing to stop during the healing process
We will assess your gum health, bone levels, and oral hygiene to determine the most effective option.
Why Choose McCawley Center for the Pinhole Surgical Technique
- Certified Experts: We are one of only 30 offices worldwide certified by Dr. John Chao as Advanced Pinhole Surgeons.
- Leaders in Gum Rejuvenation: Our practice is nationally recognized for excellence in minimally invasive treatment for gum recession.
- Published Clinical Results: Drs. Tom and Mark McCawley co-authored a study of 266 Pinhole Surgery sites, presented at the American Academy of Dental Research, showing 93% average root coverage at 17 months.
“Drs. Mark and Tom McCawley are very prominent and talented periodontists in Fort Lauderdale. They have taught in my seminar several times and are one of only 30 offices in the world that I have certified as Advanced Pinhole Surgeons.
They are extremely experienced in Pinhole Surgery and have done many procedures with beautiful results. The doctors are well known nationally on the Pinhole Technique and co-authored a study that they presented at the American Academy of Dental Research of 266 Pinhole Surgery sites that averaged 93 percent coverage at an average time of 17 months. They are the go-to office for this procedure in South Florida.
I want to thank the doctors for their contributions to this field and for all they have done for the Fort Lauderdale community.”
— Dr. John Chao, Inventor of the Pinhole Technique
Frequently Asked Questions About Pinhole Surgical Technique
Results are long-lasting when patients follow a good oral hygiene routine. Most patients maintain their results for years with proper care and routine cleanings.
This procedure may not be suitable for patients with active periodontal disease, fragile gum tissue, or very advanced bone loss. A full evaluation is required to determine candidacy.
Most patients report minimal discomfort. Usually, only mild swelling or soreness lasts one to two days.
The main limitations include suitability based on tissue quality and gum thickness. It may not be ideal for cases involving advanced periodontal disease or extremely deep recession defects.
The Pinhole Technique offers a more comfortable and faster-healing alternative to traditional grafting for many patients. However, depending on tissue availability and severity, some cases may still benefit from grafts.
PST is most effective for recession caused by brushing habits, orthodontics, and genetics. Severe cases with significant bone loss may require alternative treatments.
Coverage varies by provider. We will help you review your benefits and provide documentation for possible reimbursement.
Yes, one of the main advantages of this technique is the natural, uniform appearance of the treated gum line.
Schedule Your Consultation in Fort Lauderdale
If you are concerned about receding gums and want a less invasive option than traditional grafting, the Pinhole Surgical Technique may be the solution.
Dr. Mark McCawley has advanced training in PST and has helped many patients achieve healthier, more confident smiles with this minimally invasive approach. Our team will take the time to evaluate your needs and recommend the most effective treatment to restore your gum health, comfort, and appearance.
To book an appointment at our periodontal office in Fort Lauderdale, FL, call (954) 522-3228 or visit us at 800 E Broward Blvd #706, Fort Lauderdale, FL 33301.


